今日のお弁当…いつもお弁当には卵を1個使います♪
今日はクロロの卵を用いて…(*›ᴗ‹*)見て下さいこのプリプリ感♪
しかし…!!
見た目が…( ´•̥̥̥ω•̥̥̥` )
今日のお品書きはちくわの磯辺揚げ(inチーズ)、ハンバーグのソース・ケチャップ和え、キャベツと人参のオムレツ…
ですが卵が柔らかすぎた模様;;;;;;
反省です( ´•̥̥̥ω•̥̥̥` )
今朝もわらびが一番最初に産んでくれました♡
そしておチビも…♡
いつもありがとう(*ˇᴗˇ*)♡
今度こそ卵様を形も失敗しないで使わせて頂くからね!!(泣)
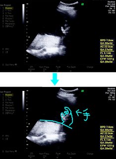
そして今日は第8回目の産婦人科検診の日♪
現在妊娠7ヶ月目、週数は27w1d☆お腹もだいぶ目立って来ました(*´ᴗ`*)
最近は赤ちゃんも大きくなって、エコー写真に映るのも体の一部とかになって来ました…
そして先生には前々から「男の子っぽい感じです」って言われていたのですが、今日ついに…私にも見えました!!
お、男の子のシンボルが(*´∀`*)!!笑
こうまでハッキリ写ったならこれはもう男の子でしょう✧
男の子用の赤ちゃん服を少しづつ買い足してましたが、これで一安心(?)ちゃんと使う機会はありそうです(*´∀`*)
実は男の子の名前はもう決めてあるのです…これもちゃんと活用出来そうで嬉しい♡
あと3ヶ月で会えると思うと楽しみです(*›ᴗ‹*)♡
相変わらずの顔色みみ子(›_‹)やっぱり色が薄い気がする…大丈夫かなぁ;;
行動は至って元気なのですが(*´∀`*);;
わらびもクリークから上がって来ました♪
実は少し離れてキョロもクリーク探索中(笑)
わらちゃんこっち向いて〜
はい、駄目です(^^);;わらびは動くのが好きなのでじっとしてくれません;;
お陰で群れの中で群を抜いてムキムキ筋肉女子に成長しました…(笑)
砂浴びスポットでモフモフ♪
キョロが来ちゃった!!
キョロに場所を取られそうなみみ子とわらび(笑)
必死に目をそらすみみ子とわらび(笑)せっかくの場所だもんね(*´∀`*);;
おチビは我関せずでうろちょろ(笑)
クロロも居るよ!!
でもあんまりこっちを見てくれない;;
キョロちゃんのカメラ目線頂きました(*´∀`*)ありがとう♡
表玄関の方まで来て丸まるおチビ(笑)
おチビさん…丸まるならどこでも良いじゃないですか…
おチビ「ここが良いの!!」
みみ子も座った(笑)
ティッシュの箱のようだよおチビ…
動かざること山の如し(笑)
クロロは謎のふんばりポーズ(笑)
みみ子は…
丸まりながらも石をつついてる(笑)
おチビは丸まりに飽きた模様(笑)
おチビ「ん?」
おチビ「この声は…」
わらび「おチビさんどうしたんですか??」
おチビ「鳩が鳴いてた☆」
夕方には鳩やカチガラスやカラスの声が聞こえます♪
みみ子は場所チェンジ☆
クロロはなぜかお庭に戻ってました(*ᴗ*)
まだお外で遊んで良いんだよ〜♪
クロロ『シュバッ』
クロロ「…」
クロロ「近イデシ!!」
キョトンとした顔が可愛くてつい(*´艸`*)笑
ちなみに寝床はこちら☆犬用ケージの中に低い止まり木をセット☆
…ですがキョロちゃんはここで寝ようとして…
他の子達はみんなこんな所で寝ようとしてます!!
イタチが来るから駄目だよ(›_‹)と言う事で…
1羽ずつ抱っこしてケージに入れて就寝(笑)
おやすみコッコたち♪また明日ね(*›ᴗ‹*)












































0 件のコメント:
コメントを投稿